16 tháng 08, 2025Ung thư vú HER2 dương tính – Tiên lượng và liệu pháp điều trị hiện nay HER2+ là thể ung thư vú tiến triển nhanh. Cập nhật liệu pháp kháng HER2 (trastuzumab, pertuzumab, T-DM1) và tiên lượng bệnh nhân. Xem thêm
16 tháng 08, 2025Thụ thể ER, PR, HER2 – Yếu tố then chốt trong điều trị ung thư vú Thụ thể ER, PR, HER2 quyết định chiến lược điều trị ung thư vú. Khám phá vai trò của ER/PR dương tính, HER2+, triple negative và ...Xem thêm
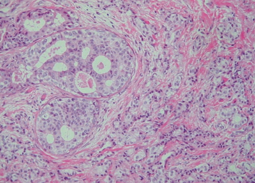
16 tháng 08, 2025Giải phẫu bệnh ung thư vú – Cách đọc và hiểu kết quả Giải phẫu bệnh là cơ sở quan trọng trong chẩn đoán ung thư vú. Học cách đọc kết quả sinh thiết và hiểu ý nghĩa các chỉ số ...Xem thêm
16 tháng 08, 2025Các giai đoạn ung thư vú và chiến lược điều trị Tìm hiểu cách xác định giai đoạn ung thư vú theo TNM, đặc điểm từng giai đoạn và chiến lược điều trị phù hợp để cải thiện tiên ...Xem thêm
16 tháng 08, 2025Ung thư biểu mô tuyến tại chỗ (DCIS) – Có thật sự nguy hiểm? DCIS (ung thư biểu mô ống tuyến tại chỗ) là ung thư vú giai đoạn 0. Liệu có nguy hiểm? Khám phá dấu hiệu, chẩn đoán và ...Xem thêm
16 tháng 08, 2025Ung thư vú xâm lấn – Đặc điểm, chẩn đoán và điều trị Ung thư vú xâm lấn là dạng thường gặp nhất. Bài viết cung cấp đặc điểm, triệu chứng, chẩn đoán và các phương pháp điều ...Xem thêm
16 tháng 08, 2025Sinh thiết vú – Quy trình, các phương pháp và tại sao “sinh thiết tối thiểu xâm lấn” rất quan trọng?Xem thêm
16 tháng 08, 2025Tỷ lệ sống và tiên lượng ung thư vú – Những con số bạn cần biết Cập nhật tỷ lệ sống của bệnh nhân ung thư vú theo giai đoạn và yếu tố tiên lượng quan trọng. Hiểu đúng để an tâm và chủ động điều ...Xem thêm
16 tháng 08, 2025Quy trình điều trị ung thư vú – Bệnh nhân cần chuẩn bị gì? Khái quát sơ lược qui trình các bước điều trị ung thư vú và những gì người bệnh cần chuẩn bị. Xem thêm
16 tháng 08, 2025Ung thư vú là gì? Triệu chứng, nguyên nhân và cách chẩn đoán Giới thiệu tổng quan về ung thư vú, nguyên nhân và các chuẩn đoán. Xem thêm
15 tháng 08, 2025Tất tần tật về Sàng lọc & Điều trị U vú – Hướng dẫn toàn diện cho phụ nữ Khám lâm sàng, siêu âm, chụp X-quang và hút chân không VABB là các bước quan trọng trong sàng ...Xem thêm