25 tháng 08, 2025Xạ trị ung thư vú – Tổng quan đầy đủ từ A đến Z Tìm hiểu toàn diện về xạ trị ung thư vú: chỉ định, kỹ thuật, tác dụng phụ, chăm sóc và hiệu quả. Hướng dẫn chi tiết, dễ hiểu, cập ...Xem thêm
25 tháng 08, 2025Bài 9: Xạ trị kết hợp với điều trị toàn thân trong ung thư vú – Hiệu quả và chỉ định Tìm hiểu cách phối hợp xạ trị với hóa trị, nội tiết và thuốc đích trong ung thư vú. Lợi ích, tác dụng phụ và vai ...Xem thêm
25 tháng 08, 2025Bài 8: Xạ trị trong ung thư vú di căn – Vai trò và hiệu quả Xạ trị giúp kiểm soát triệu chứng và cải thiện chất lượng sống cho bệnh nhân ung thư vú di căn. Tìm hiểu khi nào cần xạ trị, ...Xem thêm
25 tháng 08, 2025Bài 7: Tác dụng phụ thường gặp trong xạ trị ung thư vú và cách khắc phục Tìm hiểu tác dụng phụ thường gặp trong xạ trị ung thư vú như mệt mỏi, viêm da, đau ngực, phù tay... và giải pháp giảm nhẹ, ...Xem thêm
25 tháng 08, 2025Bài 6: Chăm sóc bệnh nhân trong và sau xạ trị ung thư vú Hướng dẫn chăm sóc bệnh nhân trong và sau xạ trị ung thư vú: dinh dưỡng, chăm sóc da, nghỉ ngơi và theo dõi biến chứng. ...Xem thêm
25 tháng 08, 2025Bài 5: Quy trình xạ trị ung thư vú – Từng bước từ A đến Z Tìm hiểu quy trình xạ trị ung thư vú từng bước: từ chuẩn bị, lập kế hoạch, thực hiện đến chăm sóc sau điều trị. Giúp bệnh nhân ...Xem thêm
25 tháng 08, 2025Bài 4: Tác dụng phụ của xạ trị ung thư vú và cách giảm nhẹ Tìm hiểu tác dụng phụ thường gặp khi xạ trị ung thư vú như mệt mỏi, bỏng da, đau ngực. Hướng dẫn cách giảm nhẹ và chăm sóc hiệu quả. Xem thêm
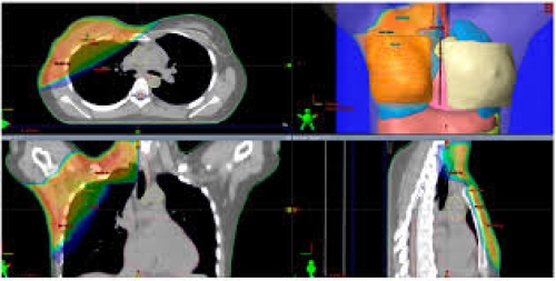
25 tháng 08, 2025Bài 3: Các kỹ thuật xạ trị hiện nay trong ung thư vú (3D-CRT, IMRT, Proton Therapy) Tìm hiểu chi tiết các kỹ thuật xạ trị ung thư vú: 3D-CRT, IMRT, proton therapy. So sánh ưu – nhược điểm, hiệu quả và lựa chọn ...Xem thêm
25 tháng 08, 2025Bài 2: Khi nào cần xạ trị sau phẫu thuật (Lumpectomy & Mastectomy)? Sau phẫu thuật ung thư vú, khi nào bệnh nhân cần xạ trị? Khác biệt giữa lumpectomy (bảo tồn vú) và mastectomy (cắt bỏ toàn bộ ...Xem thêm
25 tháng 08, 2025Bài 1: Xạ trị trong ung thư vú là gì? Vai trò và chỉ định chính Tìm hiểu xạ trị ung thư vú – khái niệm, cơ chế và vai trò trong bảo tồn vú sau phẫu thuật. Khi nào cần xạ trị và ...Xem thêm