18 tháng 08, 2025Xét nghiệm máu mới có thể hỗ trợ chẩn đoán ung thư vú sớm Nghiên cứu mới công bố ngày 12/09/2024 cho thấy xét nghiệm máu tiên tiến có thể hỗ trợ chẩn đoán ung thư vú sớm, ...Xem thêm
18 tháng 08, 2025Chụp cắt lớp vi tính quang học (OCT) hỗ trợ phát hiện ung thư vú sớm Nghiên cứu mới cho thấy chụp cắt lớp vi tính quang học (OCT) giúp phát hiện ung thư vú sớm, hứa hẹn bổ sung hiệu quả cho nhũ ảnh và ...Xem thêm
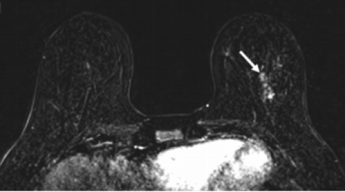
18 tháng 08, 2025Chụp MRI có thể phát hiện ung thư vú Nghiên cứu mới chứng minh chụp MRI phát hiện ung thư vú sớm hơn nhũ ảnh và siêu âm, đặc biệt hiệu quả ở phụ nữ có nguy cơ cao. Xem thêm
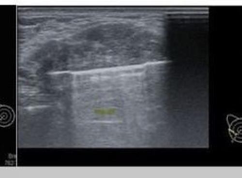
16 tháng 08, 2025Sinh thiết vú – Quy trình, các phương pháp và tại sao “sinh thiết tối thiểu xâm lấn” rất quan trọng?Xem thêm
15 tháng 08, 2025Chụp 3D Tuyến Vú (Digital Breast Tomosynthesis) – Bước Tiến Mới Trong Sàng Lọc Ung Thư Vú Tìm hiểu chụp 3D tuyến vú – công nghệ DBT tiên tiến, quy trình, lợi ích và vai trò trong sàng lọc ung thư ...Xem thêm
12 tháng 08, 2025HÚT CHÂN KHÔNG LOẠI BỎ U VÚ (VABB) – GIẢI PHÁP AN TOÀN, THẨM MỸ, HIỆU QUẢ Hút chân không loại bỏ u vú (VABB) là phương pháp ít xâm lấn, an toàn, không để lại sẹo lớn, giúp loại ...Xem thêm